A Case Report of a 36-year-old Male Diagnosed with a Spontaneous Coronary Artery Dissection
ABSTRACT:
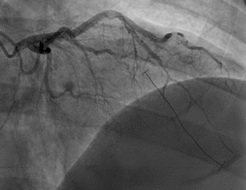
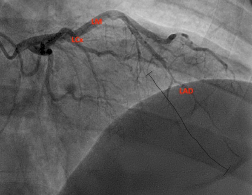
This case report discusses a 36-year-old male who presented to the emergency department with an atypical story for acute coronary syndrome (ACS). Initially, the patient was felt to have a non-diagnostic electrocardiogram (ECG). Once the laboratory test results were obtained and the initial high-sensitivity troponin was noted to be elevated, the initial ECG was again reviewed. The patient was felt this time to have an abnormal ECG, demonstrating borderline ST elevation in leads I, aVL, and V2-V5. The interventional cardiologist on call was contacted, and the cardiac catheterization lab was activated. Upon left heart catheterization, the patient was found to have a spontaneous coronary artery dissection (SCAD) of the distal left anterior descending (LAD) artery. Post-catheterization, the patient was observed on cardiac telemetry and started on dual antiplatelet therapy. Echocardiogram revealed a preserved ejection fraction (EF), but hypokinesis of the apical anterior, anterolateral, inferior, and apical myocardium. The patient was discharged within 48 hours without any complications.
Topics: Electrocardiogram, ECG, cardiology, acute coronary syndrome, spontaneous coronary artery dissection, SCAD.





