Diagnosis of Sinonasal Carcinoma in the Emergency Department: A Case Report Highlighting Red Flag Symptoms
ABSTRACT:
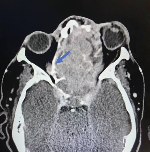
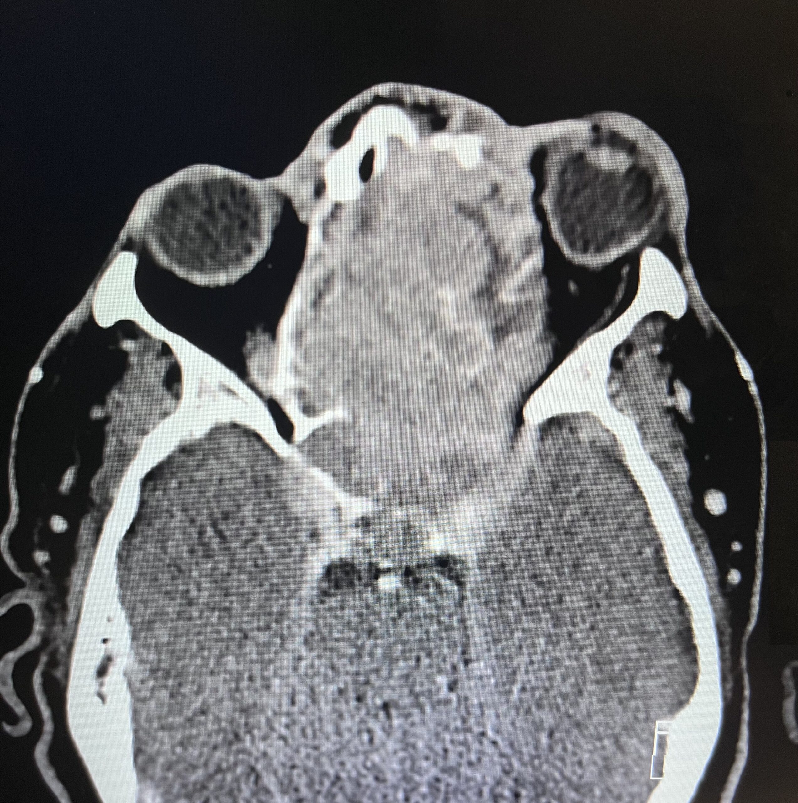
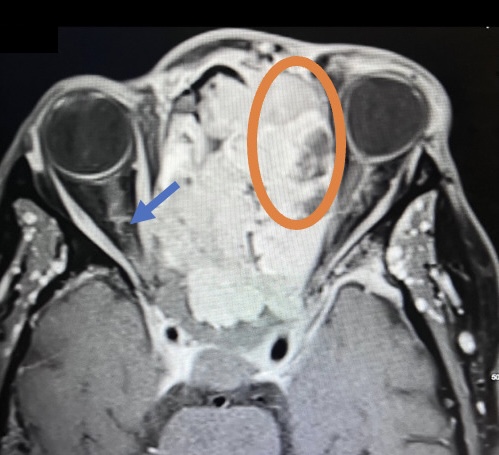
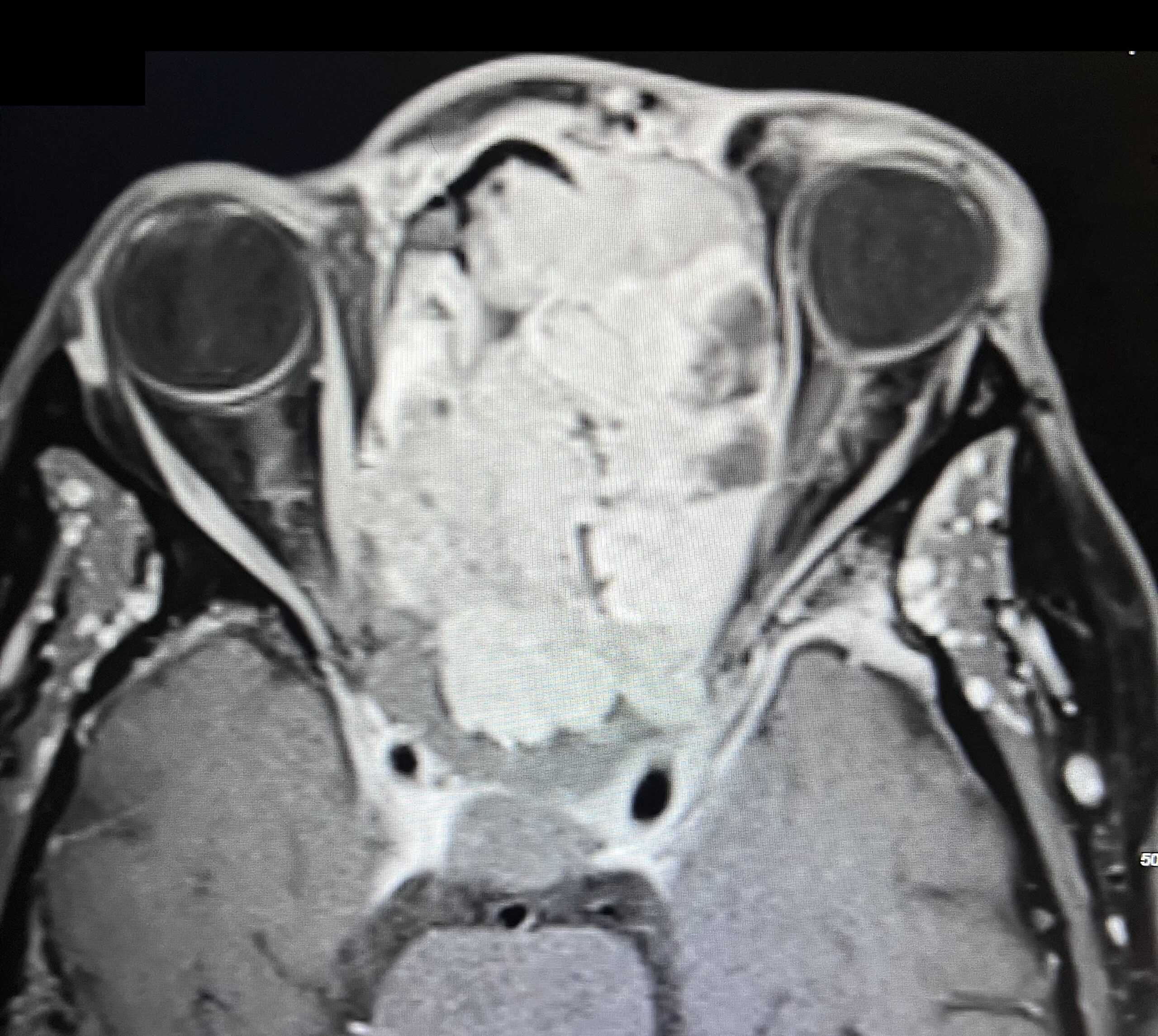
Sinonasal carcinoma is a rare malignancy that often presents with nonspecific symptoms, making early diagnosis challenging. Delayed recognition can lead to disease progression and worse outcomes. This case report emphasizes the importance of early identification, prompt imaging, and multidisciplinary management. A 73-year-old male with a history of anemia and hypertension presented with progressive facial swelling, 20-pound weight loss, and vision loss in the left eye over two months. Initially misdiagnosed with bacterial sinusitis, his symptoms persisted. Examination revealed a proptotic left eye and a large obstructive nasal mass. Computed tomography (CT) and MRI (magnetic resonance imaging) demonstrated a destructive sinonasal mass with skull base and intracranial extension. A biopsy confirmed sinonasal carcinoma, and the patient was started on chemoradiation therapy due to the inoperability of the tumor.
This case underscores the importance of recognizing red flag symptoms such as persistent facial swelling and neurological deficits. Multimodal imaging played a critical role in diagnosis. The literature suggests sinonasal carcinoma is often diagnosed late, reinforcing the need for early suspicion and specialist referral. Sinonasal carcinoma should be considered in patients with persistent facial or nasal symptoms. Timely imaging, biopsy, and interdisciplinary care are essential for optimizing outcomes.
Topics: Facial masses, sinonasal carcinoma, nasal masses, facial swelling.











