A Woman’s Infertility Journey Complicated by Severe Ovarian Hyperstimulation Syndrome – A Case Report
ABSTRACT:
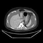
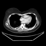
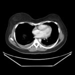
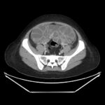
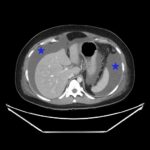
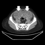
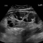
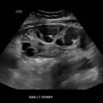
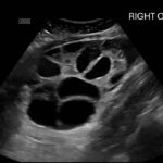
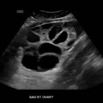
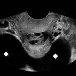
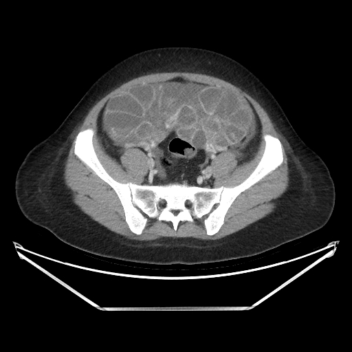
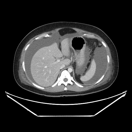
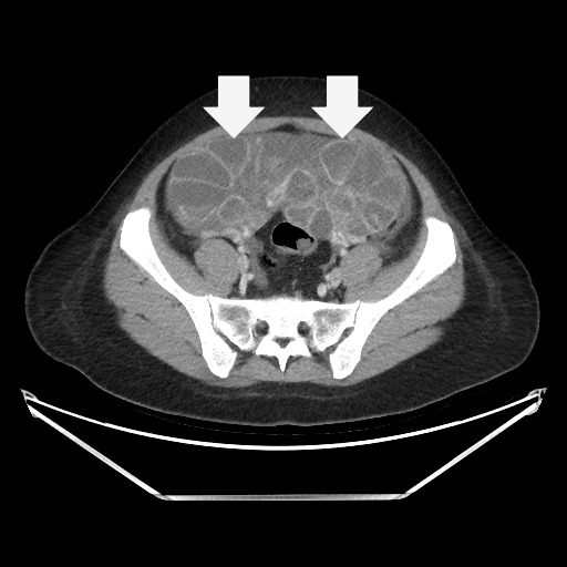
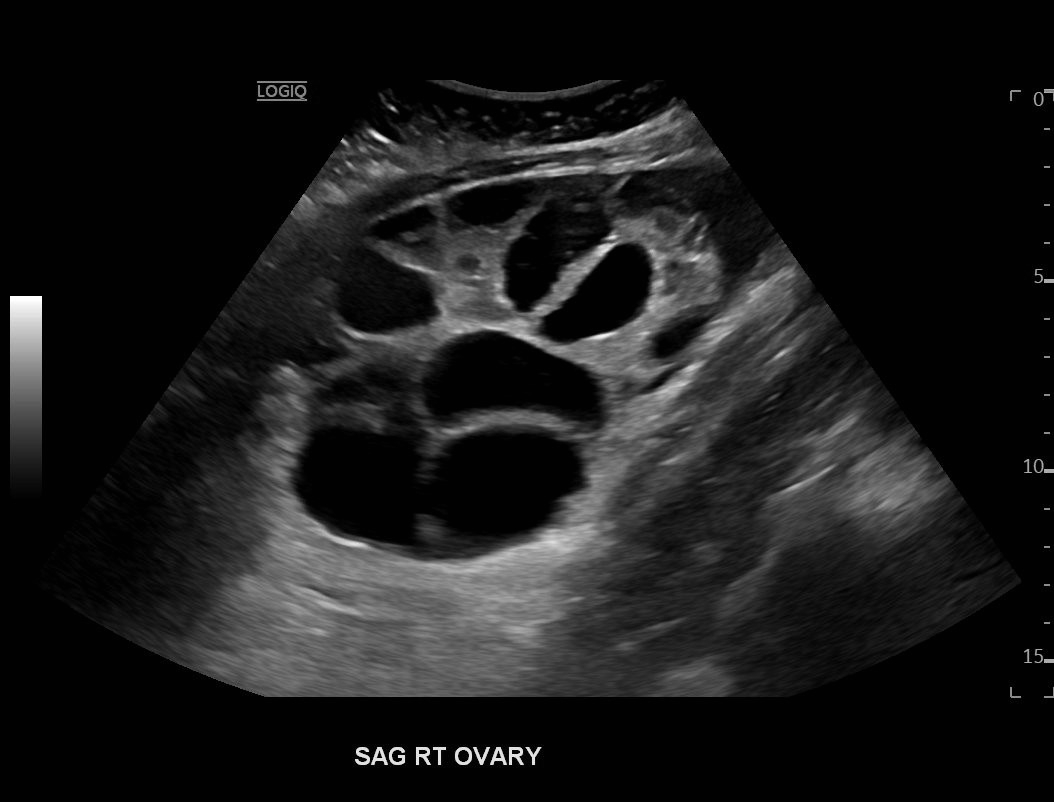
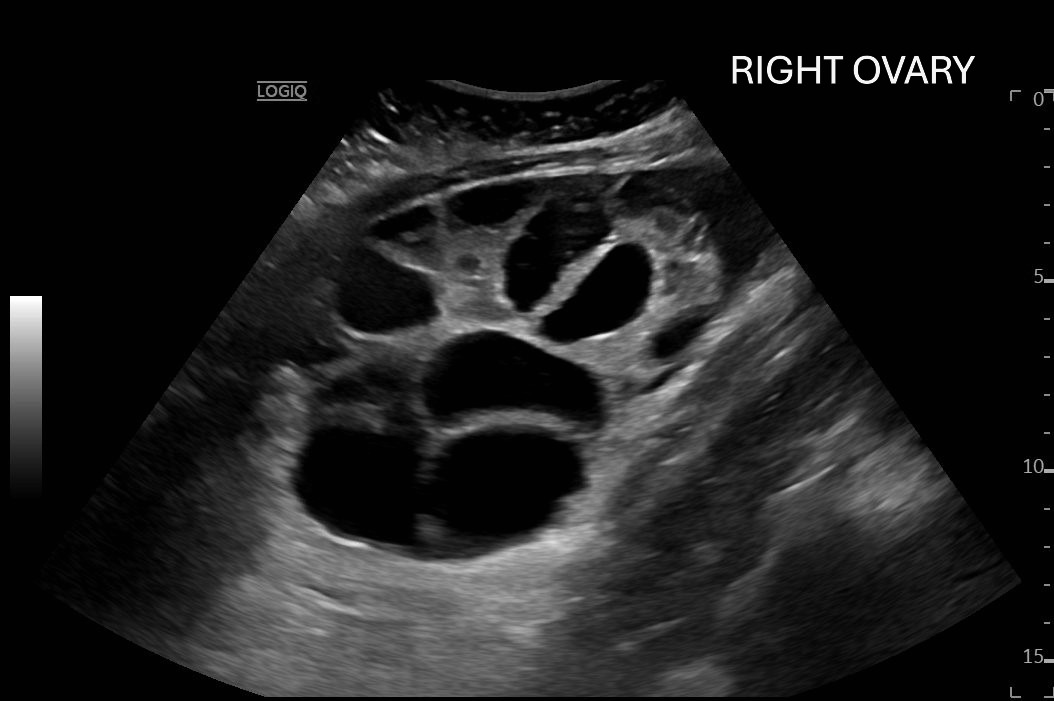
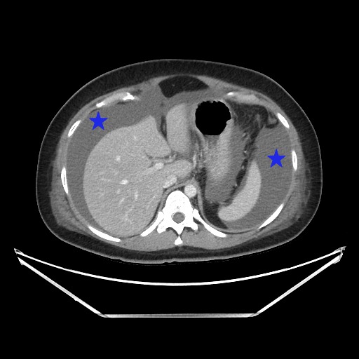
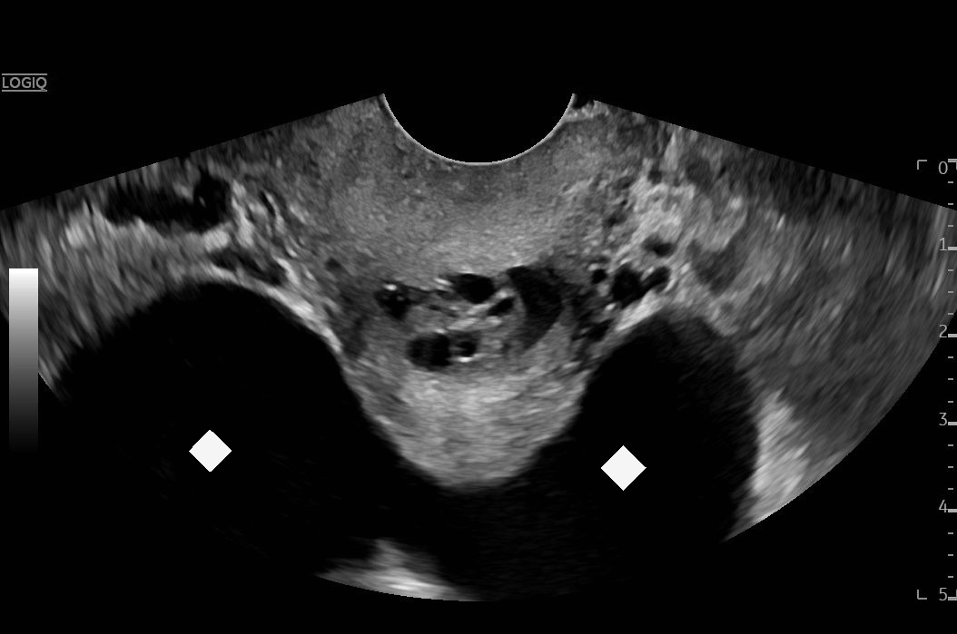
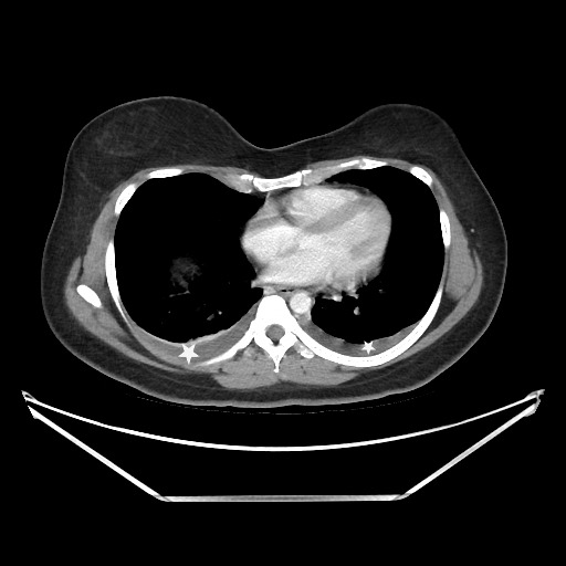
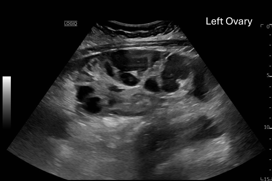
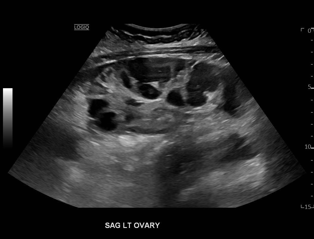
Ovarian hyperstimulation syndrome (OHSS) is a potentially life-threatening complication of assisted reproductive technology (ART). Here, we present the case report of a 30-year-old female undergoing infertility treatment who presented to the emergency department (ED) with nausea and vomiting, abdominal distention, and shortness of breath. On physical exam, she had notable ascites. Computed tomography (CT) of the abdomen and pelvis and pelvic ultrasound (US) revealed significant ascites and enlarged ovaries with multiple cysts. She was diagnosed with severe OHSS and admitted to obstetrics and gynecology (OBGYN) service for five days where she underwent intravenous (IV) hydration and paracentesis. This case report reviews the clinical presentation, categorization, management, and prevention of OHSS and provides examples of imaging findings consistent with the condition.
Topics: Infertility, obstetrics, assisted reproductive technology, ovarian hyperstimulation, third-spacing.














