Case Report: Acute Dyspnea in a Young Female
ABSTRACT:
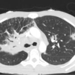
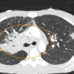
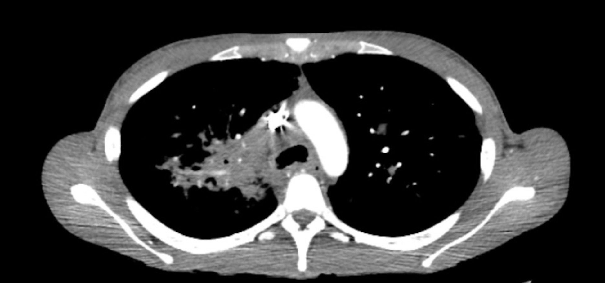
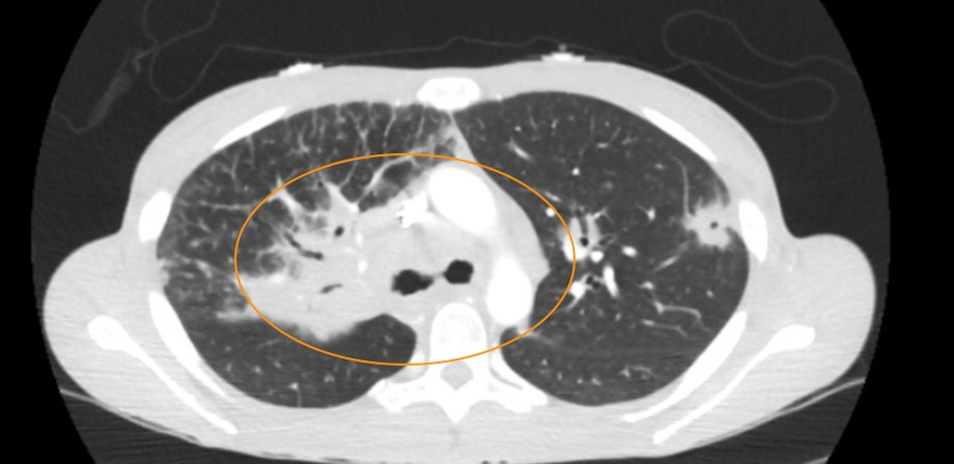
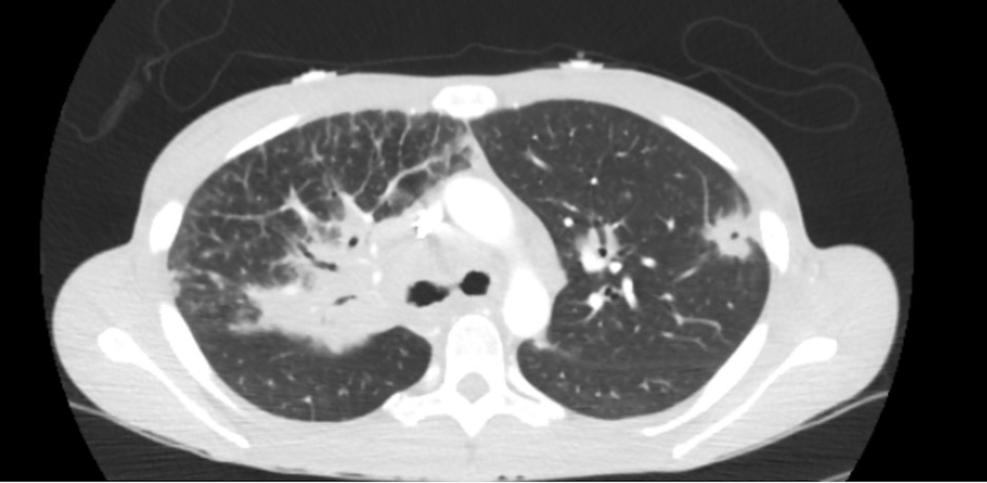
Sarcoidosis is a multisystem inflammatory disease characterized by non-caseating granulomas, primarily affecting the lungs but also involving other organs such as the skin, eyes, and heart.1 Due to its variable presentation, diagnosing sarcoidosis in the emergency department (ED) can be challenging. We report a case of a 28-year-old African American female presenting with acute dyspnea on exertion, significant weight loss, and multiple cutaneous nodules. Her diagnostic workup revealed hypercalcemia, diffuse pulmonary nodules, and extensive lymphadenopathy on imaging. Biopsy of her eyelid lesions confirmed non-caseating granulomas, leading to a diagnosis of sarcoidosis. She was initiated on high-dose steroids and evaluated for further immunologic therapy. Sarcoidosis presents a diagnostic challenge due to its nonspecific symptoms, often mimicking more common conditions.2 Early recognition in the ED is critical to prevent disease progression. This case underscores the importance of considering sarcoidosis in patients with unexplained systemic symptoms and highlights the need for a multidisciplinary approach to management.
Topics: Sarcoidosis, respiratory distress, emergency medicine.





