A Case Report of Acute Appendicitis Complicated by Appendicoliths
ABSTRACT:
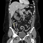
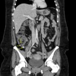
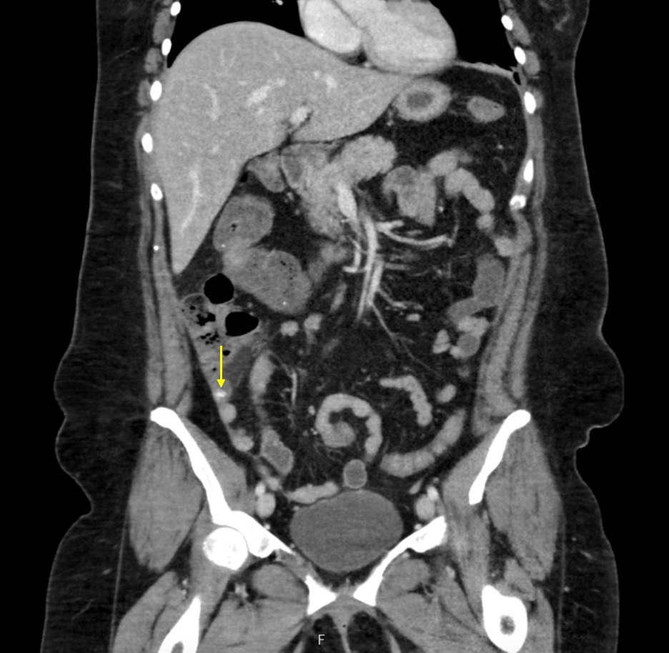
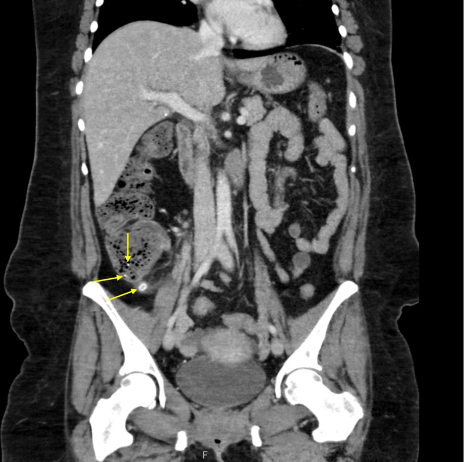
This case report highlights the clinical complexities of diagnosing and managing appendicitis complicated by appendicoliths in a 44-year-old female patient. Appendicitis is a common cause of acute abdominal pain, with imaging playing a crucial role in diagnosis. The patient presented with symptoms of right lower quadrant pain, nausea, vomiting, and chills that were initially misattributed to menstrual cramps. Diagnostic evaluation revealed multiple appendicoliths via computed tomography (CT), and the decision for laparoscopic appendectomy was based on the imaging results and clinical presentation. Intraoperative findings showed gangrenous but non-perforated appendicitis. The patient’s postoperative recovery was uneventful, with successful symptom resolution. This case highlights the importance of considering appendicitis in the differential diagnoses for acute abdominal pain in females, particularly with overlapping gynecological symptoms. The high sensitivity of CT imaging for appendicitis and the necessity of timely surgical intervention in cases involving appendicoliths are discussed. Multimodal imaging and prompt surgical management are vital for favorable outcomes in complicated appendicitis cases.
Topics: Appendicolith, CT scan, right lower quadrant pain, abdomen, gastrointestinal.



