Open Chest Wound with Sternal Fracture in the Emergency Department, a Case Report
ABSTRACT:
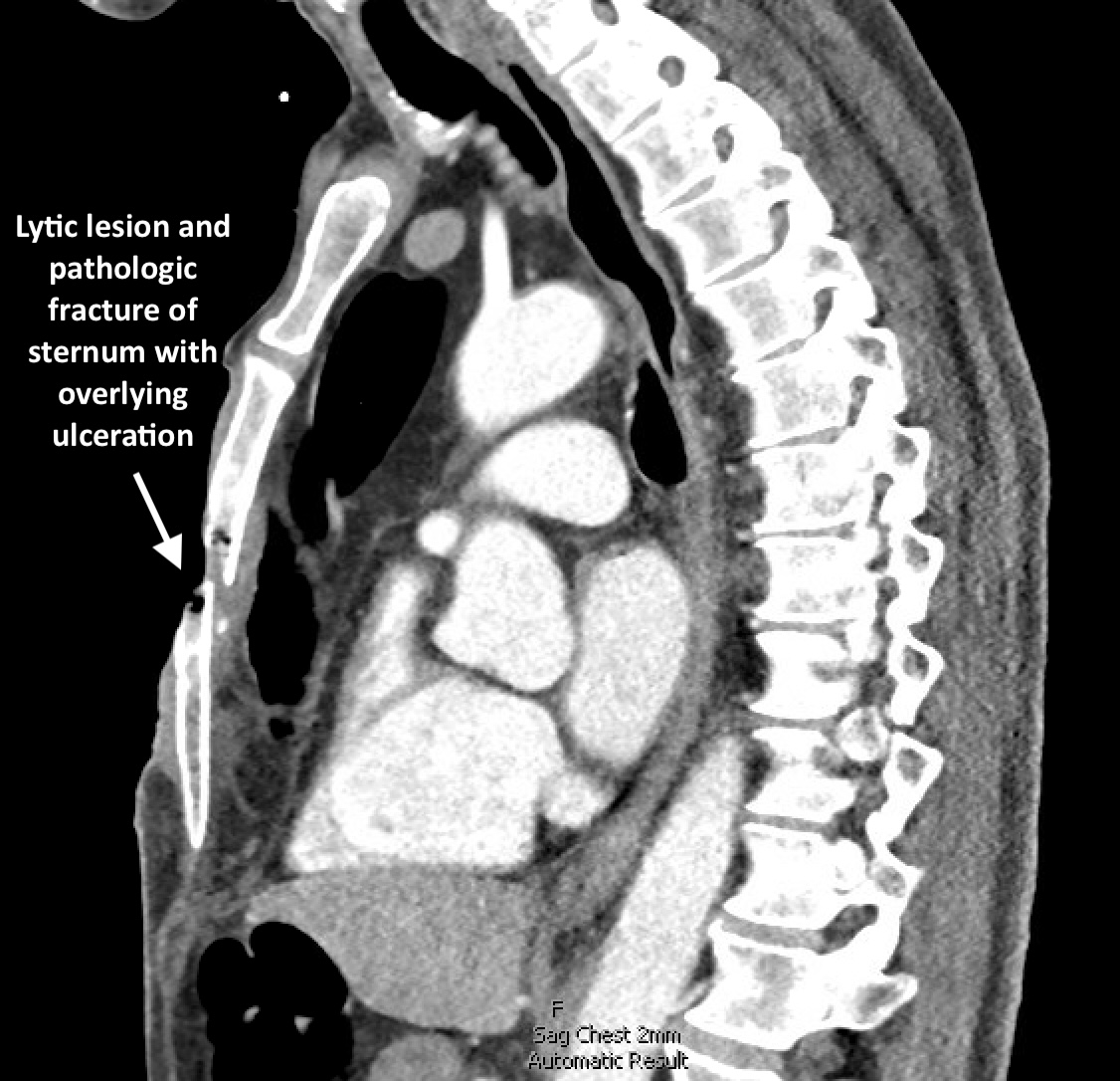
This case highlights a rare and complex occurrence of an open chest wound with a pathologic sternal fracture. This resulted from a combination of remote chest trauma, chronic chest wall infection, malignancy, and ultimately, sternal osteomyelitis. A 69-year-old male presented with a large, open anterior chest wound, chronic ulceration, and weight loss. Thirty years earlier, the patient had sustained trauma from a firecracker, which led to a chronic wound for which he did not seek medical attention. Physical exam revealed a large open chest wound with an open sternal fracture and exposed pericardium. The patient underwent surgical resection, followed by chest wall reconstruction using a rectus myocutaneous flap. Tissue pathology confirmed squamous cell carcinoma and osteomyelitis of the sternum.
The case demonstrates the complexity of managing a large chronic chest wound and pathologic sternal fracture secondary to malignancy and osteomyelitis. The key lesson is the importance of early medical evaluation and a multidisciplinary approach to improve outcomes in similar scenarios. The rarity of this case emphasizes the need for heightened awareness among clinicians who may encounter earlier presentations of this disease process in order to prevent complications, such as osteomyelitis, pathological fractures and structural instability of the chest wall.
Topics: Open sternal fracture, open chest wound, chest wall malignancy, squamous cell carcinoma, sternal osteomyelitis, chronic chest wall infection.








