Case Report of a Patient Presenting with Nonketotic Hyperglycemia Hemichorea
ABSTRACT:
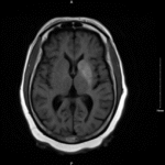
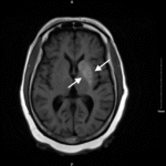
Nonketotic hyperglycemia hemichorea is a rare neurological manifestation associated with uncontrolled diabetes mellitus. This case report presents the clinical features, diagnostic workup, and management of a 74-year-old female with hemichorea secondary to nonketotic hyperglycemia. Patient presented to the emergency department with acute onset of right leg movement that was non-purposeful and random without any associated neurological symptoms such as paresthesias weakness, pain, or systemic symptoms. Patient’s medical history included untreated diabetes mellitus with glucose of 198 measured in the ED. Computed tomography of the and neck were unremarkable for any signs of ischemia, occlusion, hemorrhage or masses. Brain MRI without contrast showed T1 shortening within the left basal ganglia involving both the caudate nucleus and the lentiform nucleus, a radiologic finding common in nonketotic hyperglycemia hemichorea. Patient was admitted to the hospital for diabetes management. Patient’s symptoms did not completely resolve prior to discharge from the hospital but was closely monitored by her primary care doctor and neurologist; she had significant improvements in her symptoms over the subsequent year with improvement in her activities of daily living (ADLs).
Topics:
Nonketotic hyperglycemia hemichorea, diabetes, hemichorea.



